Aujourd’hui, la décision d’opérer un cancer du poumon (lobectomie, chirurgie infralobaire,…), que ce soit par chirurgie classique ouverte ou par chirurgie mini- invasive (chirurgie vidéo assistée/ VATS/ robot), est le résultat d’un processus diagnostic bien codifié, fondé sur des recommandations nationales (ONCOLOGIK) et internationales (European Society for Médical Oncology – ESMO).
Qui décide du traitement du cancer du poumon?

La stratégie thérapeutique se décide ainsi en comité de spécialistes en cancérologie thoracique réunis chaque semaine à la clinique des Cèdres: les Réunion de Concertation Pluridisciplinaire (RCP). Chaque patient voit ainsi son dossier discuté en profondeur par ce comité.
Le comité de spécialistes de la clinique des Cèdres

Lors de ces réunions, les dossiers cliniques et d’imagerie (scanners, IRM cérébrale et PET- SCANNER) de chacun(e) des patient(e)s sont projetés sur grand écran pour être mieux discutés, à la vue de tous les spécialistes présents, dont:
-
- l’oncologue : L’oncologue médical est classiquement le modérateur de la RCP et s’assure du respect du quorum.
- le pneumologue- cancérologue : souvent à l’origine du diagnostic par fibroscopie bronchique, il présente les dossiers à l’ensemble du comité ; en effet, ils font en général connaissance les premiers avec le/la patient(e) que le médecin généraliste leur a adressé(e).
-
- le chirurgien thoracique- cancérologue : Avec l’oncologue et le pneumologue, sa présence est indispensable. Il donne son avis sur les possibilités chirurgicales diagnostiques ou thérapeutiques.
- le médecin spécialiste en médecine nucléaire : présente les résultats des TEP- TDM ou PET- SCAN devenus aujourd’hui quasiment indispensables dans le bilan de la maladie.
-
- l’anatomopathologiste : il donne des précisions et orientations sur leurs analyses des biopsies et pièces opératoires.

Au terme de la présentation du dossier du patient, la stratégie diagnostique et/ ou thérapeutique est validée par l’ensemble des médecins présents pour être proposée au/ à la patient(e).
Un point clé: définir à quel stade en est la maladie
La tumeur est-elle localisée ou diffuse?
La première question à laquelle il faut donc répondre face à une suspicion ou à un diagnostic certain de cancer du poumon est : « la tumeur est- elle localisée ou diffuse (métastatique) ? ». Cela revient à définir le stade complet de la maladie appelé stade TNM :
- T répond à des critères de taille, et d’extension locale de la maladie
- N répond à la suspicion ou à la présence certaine de ganglions atteints par la maladie
- M répond à la suspicion ou la présence certaine de métastases à distance du poumon (c’est à dire à la présence de lésions secondaires par exemple dans les os, le foie, le cerveau ou les surrénales essentiellement).

Pour répondre à cette première question, en plus du scanner thoracique, deux examens sont indispensables*:
- la TEP- TDM (ou PET- SCAN) : permet de détecter d’éventuelles métastases à distance.
- l’IRM cérébrale : explore le cerveau qui n’est pas vu en TEP- TDM. Par ailleurs l’IRM cérébrale est plus fine que le simple scanner cérébral.
Néanmoins quand le patient est claustrophobe, l’IRM est remplacée par le scanner cérébral à défaut.
Suite à ces examens, la RCP peut donc classer la maladie et proposer la stratégie thérapeutique.
* Remarque : il n’est pas obligatoire que ces examens soient faits à la clinique des Cèdres; le patient peut tout à fait venir consulter pour un avis chirurgical ou du comité de RCP, avec un dossier d’imagerie réalisé ailleurs.
- Si la maladie est localement avancée ou métastatique alors le traitement ne sera pas chirurgical, mais par voie générale (immunothérapie, chimiothérapie, ou thérapie ciblée), plus ou moins radiothérapie selon les cas. La chirurgie peut cependant intervenir à visée symptomatique dans certaines indications (voir plus loin, chapitre « Pleurésies secondaires »).
- Si la maladie est localisée, alors le traitement sera local, à visée curatrice : chirurgie ou radiothérapie, parfois mais pas nécessairement encadrées de chimiothérapie de préparation (dite néoadjuvante) ou de clôture (dite adjuvante). Dans ces cas l’éventuelle chimiothérapie n’est pas longue (3 à 4 cycles) et vient en complément du geste chirurgical.
La guérison d’un cancer du poumon passe par une exérèse chirurgicale complète indispensable de la maladie.
En pré-opératoire, un bilan complet de l’état général du patient est également réalisé (épreuves respiraroires/EFR, consultation anesthésique,…) afin de s’assurer de « l’opérabilité » du patient au plan pulmonaire et cardiaque.
La chirurgie du cancer du poumon
Deux techniques chirurgicales possibles, pratiquées à la clinique des Cèdres
1/ Abord par chirurgie thoracique « vidéo- assistée » ou « mini- invasive » (la « VATS » lobectomie ou « key hole surgery » des anglais) : pour plus de 90% des patients
Cette chirurgie mini- invasive se fait sous vidéo-thoracoscopie +++ (équivalent de coelioscopie au niveau du thorax- figure a) ou plus rarement par chirurgie thoracique vidéo- assistée (mini- thoracotomie complétée d’un trocart de vidéothoracoscopie – figure b).

Le choix de l’un ou l’autre abord dépend de critères pré et per- opératoires propres à la maladie et à chaque patient(e) : essentiellement la taille et la localisation du cancer, mais aussi la présence associée de ganglions médiastinaux, de l’envahissement d’organes voisins au poumon,…
Dans les deux cas le traitement standard à visée curatrice du cancer du poumon reste le même: l’exérèse complète du cancer en marge saine et emportant son territoire de drainage lymphatique; c’est la lobectomie pulmonaire avec curage ganglionnaire médiastinal associé.
Cependant, quand la fonction pulmonaire n’autorise pas la lobectomie car la « réserve pulmonaire » du patient est trop faible, on peut parfois proposer une chirurgie dite « infra- lobaire » : on n’enlève alors plus le lobe entier mais un segment du lobe -on parle de « segmentectomie « – voire on pratique une simple résection partielle du poumon dite « résection atypique « (ou « wedge resection » en anglais). Cette option est toutefois réservée aux tumeurs de moins de 2 cm, sans atteinte ganglionnaire.
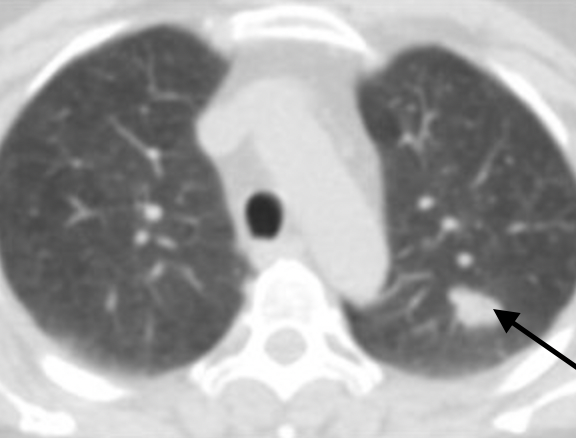
Exemple: la tumeur se situe dans le lobe supérieur gauche : au vu de la taille de la lésion, la chirurgie pourra se faire sous vidéothorascopie et consistera en une lobectomie supérieure gauche avec curage ganglionnaire
.
.
.
2/ Abord par chirurgie ouverte : thoracotomie postéro- latérale : < 10% des patients
La cicatrice sera dans le dos, partant de la pointe de l’omoplate et remontant le long de l’omoplate dans le dos.

Cet abord est choisi en raison de la taille volumineuse ou d’une situation anatomique particulière par exemple, nécessitant une exérèse plus large, comme de deux lobes ensembles (bilobectomie), voire une ablation complète du poumon, appelée « pneumonectomie « .
Exemple: ici, la tumeur est située dans le lobe supérieur droit du poumon. Le traitement consistera donc en une lobectomie supérieure droite avec curage ganglionnaire. Au vu de la taille importante de la tumeur (plus de 6 cm), la chirurgie sera par voie d’abord ouverte classique.